DENTISTA, VOCÊ PRECISA DE UM BUCODELIVERY?

Se você é dentista em São Paulo ou região e precisa de uma profissional capacitada para realizar cirurgias, você encontrou a solução.

Posso resolver esse problema para você!

MAIS DE

05

ANOS DE EXPERIÊNCIA ESPECIALIZADA EM CIRURGIA

MAIS DE

850

CIRURGIAS REALIZADAS

BIÓPSIAS,

TERCEIROS MOLARES

E IMPLANTODONTIA

POR QUE DELEGAR O TRATAMENTO DE CIRURGIA PARA O BUCODELIVERY?

As cirurgias podem ser brevemente resolvidas pelo especialista economizando tempo e energia do indicador. Além de fornecer uma melhor recuperação pós-operatória ao paciente;

As orientações pós-operatórias e consequências do procedimento são de responsabilidade da cirurgiã, tirando o peso desses ônus do indicador;

O indicador passa a ter tranquilidade e confiança para dar seguimento ao tratamento tendo a certeza de que o procedimento cirúrgico foi bem feito;

Por fim, o paciente receberá o melhor tratamento possível com o padrão de qualidade adotado pelo próprio indicador, será fidelizado ao  consultório onde foi atendido e não será “perdido” para outros colegas.

Como Funciona?

Agende seu horário

Fale comigo pelo Whatsapp, introduza o caso e agende o atendimento.

Não se preocupe com nada

Todos equipamentos e instrumentais estão inclusos no atendimento.

Envio do relatório

Após o procedimento, será enviado um relatório completo sobre o atendimento.

O que dizem os

Parceiros Indicadores

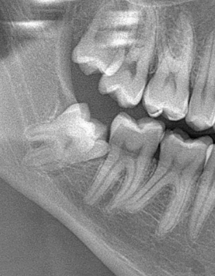
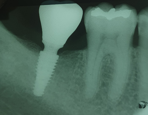
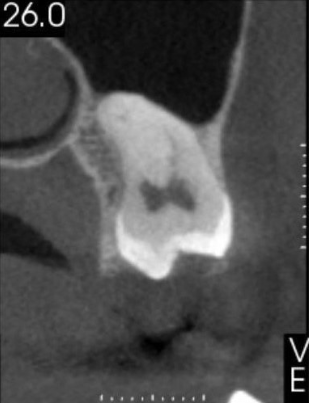
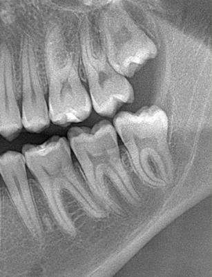
Veja alguns casos de sucesso

Raio de Atendimento

Saiba mais um pouco sobre mim

Thalita Guarda Fagoni é cirurgiã-dentista graduada pela Faculdade de Odontologia de São José dos Campos – UNESP (2013-2016), tendo obtido o título de especialista em Cirurgia e Traumatologia Bucomaxilofacial pela Santa Casa de São Paulo em 2020.

Possui atualização em Implantodontia e Dor Orofacial. É mestranda da área de Cirurgia da Faculdade de Odontologia da Universidade de São Paulo (FO-USP).

Desde o início, direcionou sua formação para a área cirúrgica. O foco no paciente e voltado para uma excelente experiência baseada no acolhimento é uma das suas prioridades durante os atendimentos.

2025 – Todos Direitos Reservados – CRO 119341